原因不明の脳の炎症に先天性免疫異常症が潜む

2026年3月6日 公開

CLIPPERSが疑われた若年患者でFHL3を同定し、造血幹細胞移植による治療へ

ポイント

  • 原因不明とされやすいCLIPPERS様の中枢神経炎症の一部に、先天性免疫異常症が背景として存在し得ることを解明
  • CLIPPERSが疑われた若年患者2例において、遺伝学的解析と免疫細胞機能解析により家族性血球貪食性リンパ組織球症3型(FHL3)と診断し、根治治療である同種造血幹細胞移植により症状の改善を確認
  • CLIPPERS様症状を示す患者では、年齢や全身症状の有無にかかわらず、先天性免疫異常症を念頭に置いた評価と診断が重要であることを提示

概要

東京科学大学(Science Tokyo)医歯学総合研究科 脳神経病態学分野の佐川博貴大学院生、平田浩聖プロジェクト助教(研究当時、現・米国マウントサイナイ医科大学博士研究員)および小児地域成育医療学講座の金兼弘和寄附講座教授らの研究グループは、東北大学大学院医学系研究科小児病態学分野の笹原洋二准教授、片山紗乙莉助教、京都大学、防衛医科大学校との共同研究により、CLIPPERS[用語1]様の中枢神経炎症を呈した若年患者の中に、乳児〜小児期に発症することが多い先天性免疫異常症[用語2]の1つである家族性血球貪食性リンパ組織球症3型(FHL3)[用語3]が背景に存在することを報告しました。CLIPPERSは原因不明とされることが多い病気ですが、年齢にかかわらず先天性免疫異常症の可能性を考慮し、適切に診断することで、根治治療である同種造血幹細胞移植[用語4]につながる可能性がある点に意義があります。

本成果は、国際科学誌 Journal of Clinical Immunology に、2026年3月5日(現地時間)付でオンライン版として発表されました。

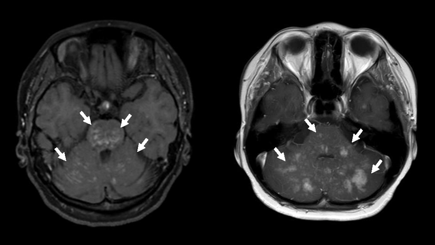
本研究で報告した2症例の頭部MRI(造影T1強調)画像:小脳と脳幹に、白く造影される点状・結節状の病変を多数認め(矢印)、CLIPPERSに類似する所見を示した。

背景

CLIPPERSは、脳幹や小脳を中心に、脳や脊髄といった中枢神経に炎症が生じる疾患です。MRI検査で小さな病変が多数認められ、ステロイド治療が有効であることが特徴とされています。一方で、炎症が起こる原因は十分に解明されておらず、診断や治療方針の判断が難しい場合もあります。

先天性免疫異常症は、生まれつき免疫の働きに異常がある疾患の総称で、免疫力の低下により感染症にかかりやすくなるだけでなく、免疫が過剰に反応して炎症が持続する場合もあります。家族性血球貪食性リンパ組織球症(FHL)はその1つで、免疫の過剰反応により全身に強い炎症が生じ、重症化することがあります。

FHL3型(FHL3)は、UNC13D遺伝子の変異を原因とする病型です。FHL3は通常、乳児〜小児期に発症することが多い一方で、思春期や成人期に発症する例も報告されています。中枢神経症状が主にみられる場合には、背景にある免疫異常が把握されにくく、診断が遅れる可能性があります。

研究成果

研究グループは、CLIPPERS様のMRI画像所見および臨床像を呈し、再燃を繰り返していた10~20代の2症例について詳細な解析を行いました。遺伝子解析によりUNC13D遺伝子の異常を同定し、さらに免疫細胞の機能を評価する検査でも異常が確認されたことから、2症例はいずれもFHL3と診断されました。FHL3に対する根治治療として同種造血幹細胞移植が位置づけられていることを踏まえ、2症例に移植治療を実施した結果、症状の改善が認められました。

さらに、少数ではあるものの、これまでに海外で報告されている症例を検討したところ、複数のFHL関連遺伝子の変異が、CLIPPERS様の中枢神経炎症を呈する症例において報告されていることが明らかになりました。また、UNC13Dの機能が完全には失われない「低機能型」の変異では、発症時期が遅れる、あるいは全身症状が目立たず中枢神経の炎症が主体となる可能性が示唆されました。

社会的インパクト

CLIPPERS様症例では、ステロイド治療により一時的に改善しても再燃を繰り返すことがあり、再燃を重ねることで神経症状が悪化する恐れがあります。本研究は、原因不明とされやすいCLIPPERS様症例の一部に、実際にはFHL3が背景として存在し得ることを示しました。

中枢神経の炎症が主症状として現れる場合、背景にある免疫異常が見逃されやすくなります。しかし、全身症状を伴う場合はもちろん、明らかな全身性炎症が認められない場合であっても、年齢にかかわらず遺伝子検査を含む包括的な評価を検討することが重要であると考えられます。適切な診断により根治治療につながる可能性があり、患者さんの予後改善に貢献することが期待されます。

今後の展開

今後は、同様の症例を国内外でさらに集積・解析することで、病態理解の深化が進むとともに、診断のあり方や同種造血幹細胞移植の長期的な効果および位置付けが明確になり、より適切な診断および治療につながることが期待されます。

付記

本研究はJSPS科研費 JP22K07887、JP21KK0201の助成を受けたものです。

用語説明

[用語1]
CLIPPERS:Chronic lymphocytic inflammation with pontine perivascular enhancement responsive to steroidsの略。脳幹(特に橋)や小脳を中心に脳や脊髄に炎症が起き、造影MRIで小さな点状の造影所見が多数みられることが特徴。多くの例でステロイド治療に反応するが、なぜ炎症が起きるのかは十分に分かっていない。
[用語2]
先天性免疫異常症:生まれつき免疫の働きに偏りや不足がある病気の総称で、感染症にかかりやすくなるだけでなく、免疫が過剰に反応して炎症が続く場合もある。乳児期や小児期だけでなく、思春期や成人になってから発症することもある。近年、遺伝子解析の進歩により診断が進んでいる。
[用語3]
家族性血球貪食性リンパ組織球症(FHL):先天性免疫異常症の1つで、免疫が過剰に反応して全身に強い炎症を起こす病気。発熱や血球減少、肝脾腫などを来し、重症化することがある。原因となる遺伝子により複数の病型に分かれ、FHL3型(FHL3)はUNC13D遺伝子の変異によるものである。FHL3では、ウイルス感染細胞などを攻撃する細胞傷害性T細胞やNK細胞の働きが弱くなり、炎症が収束しにくくなることがある。
[用語4]
同種造血幹細胞移植:患者さんの異常な造血細胞を健康な提供者(ドナー)の造血幹細胞と入れ替える治療であり、先天性免疫異常症の一部では、根治を目指せる治療として位置づけられる。

論文情報

掲載誌:
Journal of Clinical Immunology
タイトル:
Two cases of CLIPPERS-like syndrome sharing a hypomorphic UNC13D variant
著者:
Hirotaka Sagawa, Kosei Hirata, Saori Katayama, Hirofumi Shibata, Etsushi Toyofuku, Shuya Kaneko, Yu Katata, Yusuke Takezawa, Mitsugu Uematsu, Iichiroh Onishi, Yuto Yamazaki, Takaaki Hattori, Masahide Yamamoto, Masaki Shimizu, Kohsuke Imai, Takahiro Yasumi, Tomohiro Morio, Takanori Yokota, Yoji Sasahara, Hirokazu Kanegane

研究者プロフィール

佐川 博貴 Hirotaka Sagawa

東京科学大学 医歯学総合研究科
脳神経病態学分野 大学院生
研究分野:脳神経内科学

佐川 博貴 Hirotaka Sagawa

平田 浩聖 Kosei Hirata

東京科学大学 医歯学総合研究科
脳神経病態学分野 非常勤講師
米国マウントサイナイ医科大学 博士研究員
研究分野:脳神経内科学

平田 浩聖 Kosei Hirata

金兼 弘和 Hirokazu Kanegane

東京科学大学 医歯学総合研究科
小児地域成育医療学講座 寄附講座 教授
研究分野:免疫不全症、血液・悪性腫瘍、感染症

金兼 弘和 Hirokazu Kanegane

関連リンク

お問い合わせ

東京科学大学 大学院医歯学総合研究科 小児地域成育医療学講座
教授 金兼 弘和

東京科学大学 大学院医歯学総合研究科 脳神経病態学分野(脳神経内科)
非常勤講師 平田 浩聖

取材申し込み

東京科学大学 総務企画部 広報課